開咬の状態を気にされていたものの、ブラケット(ワイヤー)矯正には抵抗があり、治療を迷われていた患者さんです。
そこで、目立ちにくいアライナー(マウスピース)矯正をご提案し、治療を開始しました。開咬の程度が大きいため、初めから理想的な改善を目指すのは難しいケースでしたが、「できる範囲で少しでも良くしたい」というご希望のもと、無理のない計画で進めています。
治療の経過とともに、少しずつ噛み合わせの改善が見られ、口元の印象にも変化が現れています。
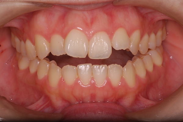
2020.5(初診時)
前歯が噛み合わず、お悩みの状態でした。

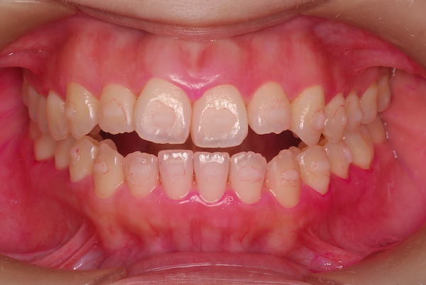
2020.12(治療中)
マウスピース矯正で、少しずつ変化が見られます。

2021.7(治療後)
前歯の噛み合わせが改善し、自然な口元へ。

*本症例は一例であり、すべての方に同様の結果が得られるとは限りません。症状の程度によっては、マウスピース矯正だけでは改善が難しい場合もあります。
*患者さまの状態に応じて、適切な治療方法をご提案いたします。
*症状やお口の状態によって、適した治療方法は異なります。マウスピース矯正が適さない場合もありますので、詳しくはご相談ください。
*効果には個人差があります。
*自由診療です。
*写真は患者様のご了承のもと掲載しています。
