*こちらの治療は自由診療(保険適用外)となります。
正しい咬み合わせが全身の健康へ

矯正歯科治療とは、不自然な位置にある歯や顎の骨(不正咬合)を整えて、美しい歯並びや正しい咬み合わせにすることです。
不正咬合があると歯並びが良くないばかりでなく、歯の本来の働きが妨げられたり、 歯の清掃が十分でなく虫歯や歯周病を引き起こしたりします。
更に歯並びによっては発音がしづらい、よく噛めないので消化によくないといった問題もあります。
また、肩こり・頭痛といった症状は不正咬合により特定の歯に力が入り引き起こされている可能性があります。
矯正治療では不正咬合を治すことによりこのようなお悩みを解消し、健康を増進させることができるのです。
矯正歯科治療は口元の見た目を気にする方が受ける治療と考えられがちですが、実は審美面だけでなく機能面にお悩みの方にも最適な治療なのです。
歯並びには様々な種類があります
このような歯並びは矯正治療で治すことができるかもしれません
- 叢生~歯並びが悪い
- 反対咬合~受け口
- 空隙歯列~すきっ歯
- 過蓋咬合~咬み合わせが深い
- 上顎前突~出っ歯
- 交差咬合~中心から横にずれている
- 緊密歯列~乳歯の間にすきまがない
- 萌出異常~正しく萌出ない
こどもの矯正
子供の治療は、歯の交換やあごの骨の成長バランスを考慮するため比較的長期間にわたることが多く、通常2期に分けて行います。
乳歯と永久歯が混合している時期を混合歯列期と呼びます。
混合歯列期におこなう治療を1期治療、永久歯が生えそろってからおこなう治療を2期治療といいます。
一期治療では比較的簡単な装置を使用し、本格的な矯正歯科治療である2期治療に入る前の準備的な治療とも言えます。
2期治療はブラケット装置というワイヤーの矯正装置で、永久歯の歯ならびやかみ合わせを良くしていく本格的な矯正歯科治療です。
「1期治療」を行うことで歯列が改善し「2期治療」が必要なくなる場合もあります。
大人になってから始める方が増えています
小さいころから自分の歯並びが気になっていたけれど、あまり人には相談できず悩んできた方は多いのではないでしょうか。
以前までは「矯正歯科治療は成人する前に受けるもの」と認識されていました。
しかし、近年では矯正装置が目立たなくなったことや、歯並びや咬み合わせの全身の健康に与える重要性が認識されたことにより、
成人の矯正歯科治療も一般化してきています。
実は大人になってからでも 歯列矯正をして歯並びを整えることは可能なのです。
ずっと悩んでいた歯並びを治したい、そう思ったときこそが治療開始時期です。
当院では目立たない矯正器具もご用意していますので、始めてみたいと思われた方は是非一度ご相談ください。
お口の中の問題がある場合は、治療して歯茎を健康にしてから、矯正に取りかかります。
大人の矯正特有の問題
- 歯周病にかかっている場合がある
- 歯茎のコンディションが悪化している場合がある
- 歯を失っている場合がある
装置をつけたい部分に歯がない場合は、矯正用インプラントをすることによって矯正治療を行います。
矯正用インプラントとは矯正歯科用につくられたインプラントを顎の骨に埋め込み、固定源として使用する方法です。
今までは難しかった矯正治療を可能にします。
機能性から改善する矯正
プレオルソ〜こども歯並び矯正法
10歳頃までの骨の柔らかい時期に効果的な、マウスピースの様な器具を使用した矯正法です。
取り外しが可能なので、家にいる時のみ使用することができます。
永久歯に変わってからでは、ワイヤーを使用した本格的な矯正が必要になりますが、こどものうちに始めることで効果が出やすい矯正方法です。
混合歯列期の口腔機能を矯正する T4K
T4Kは歯の生え変わる時期( 混合歯列期、6歳からおおむね12歳)にマウスピースタイプの矯正器具です。
鼻呼吸や、正常な飲み込みができるようになり、舌の位置やその機能も正常に近づかせます。
日中最低1~2時間と夜間就寝時に装着し、取り外し式の器具なので学校にしていく必要もなく、お子さんに負担が掛かりません。
口の周りの筋肉が正常に機能すると、生え替わりもスムーズに行われ、その結果歯並びも自然とよくなり、T4Kのみで終了する場合もあります。
ワイヤー 矯正が必要な重度の歯列不正でも、ワイヤー矯正前治療器具として使用し、矯正期間を短縮することができますし、矯正治療終了後の後戻りも少なくなります。
小児の受け口治療 ムーシールド
3~6歳ごろの反対咬合の治療に適した矯正器具です。
約半年~1年間を目安に、就寝時に装着します。
3歳で受け口の場合、自然に治るのは6.4%(100 人に6 人)程しかいないことが分かっています。
残りの94人ほどは自然には治らないということなのです。
そのため小児の反対咬合は特に早期の診断・早期の治療が必要です。
受け口が改善する仕組み
本来、舌の先端は上あごの歯茎あたりにあります。
しかし舌がいつも低い位置で下の前歯を押してしまっていると反対咬合になる要因となります。
このように舌の位置が原因で反対咬合になっている場合は、ムーシールドで舌が上の前歯を押すよう促し咬み合わせを改善します。
オーソドックスな矯正
さまざまな症例に対応できる マルチブラケットシステム
マルチブラケットシステムとは、ブラケットという装置を歯一本ずつに装着し、ワイヤーを通して歯に力をかけ徐々に矯正していく治療です。
取り外しができない分、常に一定の力を歯にかけることができ、効率よく治療できます。
この方法のメリットは歯の裏側に装着するタイプに比べ安価であること、転居などにより治療を引き継ぐ必要があっても、同等の装置で治療を行える点です。
素材や形により種類が多数あります。近年では通常の金属のものだけでなく、
目立ちにくいクリアブラケット(透明なブラケット)や、セラミック製 の白いブラケットなど目立たないように行うことが一般的になっています。
アライナー矯正(クリアコレクト)
透明で目立たないマウスピース型の歯科矯正、クリアコレクトの治療計画(3D)を患者様のスマートフォン・パソコンで確認する様子です。
一般的な表につける矯正治療とはちがい、舌側に付けるタイプの矯正器具です。目立たないことはもちろん、舌に当たる器具の部分が少なく矯正治療中の違和感が軽減されます。特殊な装置ですので、一回の診療時間は通常のMBSより若干長めにかかりますが、治療の歯並びの現状が把握しやすいので、歯並びがきれいになっていく様子が実感できます。
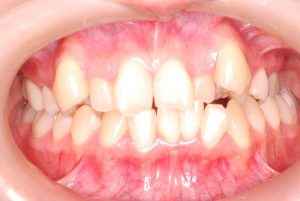
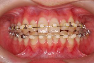
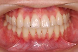
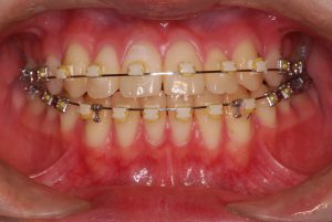
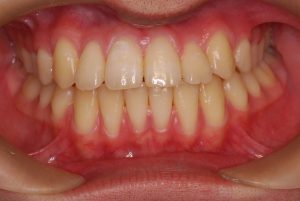
歯列矯正の症例1 20代 女性
費用
開始時 550,000円 月々3,300円
矯正治療前

矯正治療中

矯正治療後

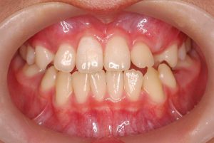
歯列矯正の症例2 10代 男性
矯正治療前

矯正治療中

矯正治療後

