前歯のちょっとした欠けや隙間も、自然な見た目に修復できることがあります
前歯の小さな欠けや隙間は、CR(コンポジットレジン)充填で自然な形に修復できることがあります。歯を大きく削らずに改善できる場合が多い治療です。
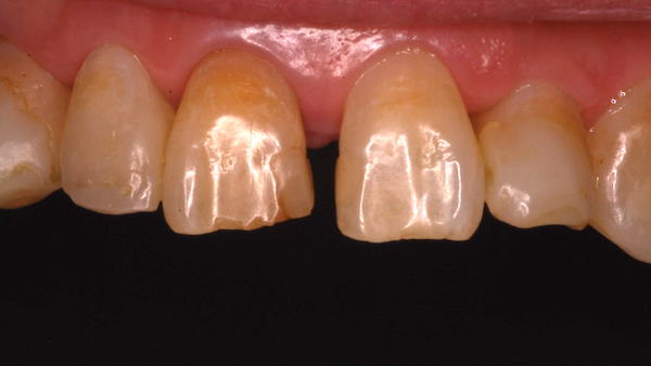
■Before(治療前)
前歯の切縁部に欠けがみられました。歯と歯の間に隙間も認めます。

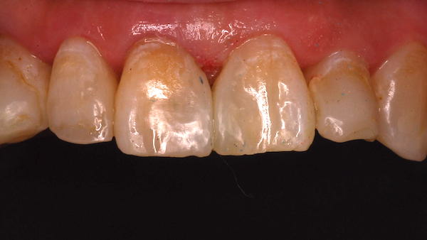
■After(治療後)
CR(コンポジットレジン)充填により、欠けた部分の形態、隙間を回復し、周囲の歯になじむ自然な見た目に修復しました。

■治療について
コンポジットレジンは歯の色に近い白い材料を直接盛り足して形を整える治療です。歯質を大きく削ることなく修復できるのが特徴です。
前歯の小さな欠けや形、隙間が気になる場合でも、保険診療で改善できることがあります。気になる症状がありましたらお気軽にご相談ください。
■治療詳細
主訴:前歯の欠け、歯と歯の隙間
治療内容:CR(コンポジットレジン)充填
治療回数:1回
治療費用:保険診療、前歯2本分CR充填3割負担で約2500円
(この治療の以前に歯周基本治療と咬合治療を行っています。)
■リスク・副作用
- 経年的な変色、摩耗、欠けが生じる可能性があります。
- この治療の前に咬合の改善が必要なことが多いです。
*症例写真は患者さまの同意を得て掲載しています。
*お口の状態によって治療方法が異なる場合があります。
